醫師專欄

雙波合擊,相輔相成 (上)—關於電波緊膚與音波拉提的最新科學證據

英爵-0060

英爵醫美診所皮膚專科 黃逸明院長

自從音波拉提引進台灣後在微整形市場掀起很大的旋風,也對原來的電波治療造成了排擠效應,我在門診中最常被問到的就是音波與電波到底哪一個治療適合?它們到底有什麼不同?根據我以往的治療經驗,其實這兩項治療是可以相輔相成的,最近看了一篇關於亞洲人的最新研究,與各位朋友一起分享!

文章刊登於2015年3月出刊的Journal of Cosmetic and Laser Thearpy 美容與雷射治療期刊,作者是韓國的皮膚科醫師Dr. Dong Hye Suh,研究主題為Comparative histometric analysis of effects of high intensity focused ultrasound and radiofrequency on skin聚焦式超音波 (音波拉提) 與電磁波 (電波緊膚) 對皮膚影響的組織學分析。

1-16

這是從網站上節錄下來的圖,有興趣的朋友可以登錄網頁去參考摘錄。
在介紹研究前,先跟大家分享兩個概念︰

1. 皮膚組織構造︰大家都知道皮膚可以分成表皮層 (Epiderm)、真皮層 (Dermis)與皮下組織層 (Subcutaneous Tissue),並透過筋膜層 (SMAS) 與肌肉層相接。但真皮層還有更進一步的區分,分為乳突真皮層 (Papillar dermis) 與網狀真皮層 (Reticular dermis)

2

皮膚分層示意圖︰紅色區域是構造較為鬆散的乳突真皮層,黑色區域為構造較為緻密的網狀真皮層 (圖片來源https://www.studyblue.com)

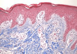
3

皮膚組織切片圖︰淡紅色的 Papillary dermis 是構造較為鬆散的乳突真皮層,深紅色是構造較為緻密的網狀真皮層 (圖片來源http://www.biology-online.org/)

2. 電波與音波的作用原理︰電波緊膚是利用每秒600萬次震盪頻率的電磁波來加熱皮膚,最深可達4.3mm (橘色黃金探頭),而音波拉提是利用高能量聚焦式的超音波來治療皮下1.5mm、3mm與4.5mm

4

圖片中可以看到電波緊膚 (RF) 是屬於區塊式加熱 (bulky heating) 作用深度略淺,以真皮層為主;而音波拉提 (Ultherapy) 是屬於點狀加熱,每一個治療點的溫度較高且較深 (圖片來源www. ulthera.com)

了解了這兩個基本概念,我們回到這個最新的研究,這個研究的最大目的在於探討電波與音波治療後,皮膚內膠原蛋白與彈力蛋白的增生量,這是我們治療者最關心的話題!

本研究使用目前最流行的電波緊膚 Thermage 與音波拉提Ulthera,分為三組共33人
(1)電波藍色探頭 Theramge NXT治療300發,能量2.5~3.0
(2)電波緊膚橘色探頭 Thermage CPT治療600發,能量強度2.5~3.0
(3)音波拉提 Ulthera用4.5mm深層探頭
術前與術後2個月對臉頰的皮膚做切片,將切下來的皮膚組織做膠原蛋白與彈力蛋白總量分析

5

此為染色示意圖,不代表本實驗
(圖片來源 http://www.epistemservices.com/analytical-services/histology.php)

6

由上表可以看出,電波橘色探頭 (黃金探頭) 對於皮膚的真皮層從淺到深都可以刺激出新的膠原蛋白與彈力蛋白,增加量約從12~18%,電波藍色探頭也可以刺激較少量的膠原蛋白,而音波拉提主要是刺激出深層的膠原蛋白,增加量為11~21%,對皮膚真皮層厚度的增加,音波拉提較為有效。

由研究的數據我們可以歸納出︰
(1)黃金探頭確實對淺層與深層的真皮層都有效刺激出膠原蛋白與彈力蛋白增生,但效果略少於音波拉提
(2)音波拉提對淺層真皮層較無效,作用以深層為主

因此在治療的選擇上,可以考慮合併治療或交替治療,先用電波黃金探頭做整層皮膚的加熱,針對較為鬆弛的部分,再輔以音波拉提的加強,如此可以達到最佳的治療效果。

文章轉載自黃逸明院長部落格
網址http://yiminghuang.pixnet.net/blog/post/290411446

NEW黃醫師

現任英爵醫美診所 大直館院長

黃逸明 醫師

再生醫美

皮膚專科

電波音波

注射微整

雷射光療

學經歷

  • 台北醫學大學醫學研究所碩士
  • 台北醫學大學醫學系畢業
  • 美國哈佛大學雷射美容進階課程研修
  • 現任英爵醫美診所大直館院長
  • 台大醫院內科住院醫師
  • 台北醫學大學附設醫院皮膚科主治醫師
  • 萬芳醫院皮膚雷射美容中心主治醫師
  • 台北秀傳醫院皮膚雷射美容中心主治醫師
  • 財團法人恩主公醫院皮膚科兼任主治醫師
  • 衛生署脈衝光與雷射醫學教育講師
  • 美國Ulthera音波拉提原廠授課講師
了解更多